Tóm tắt nội dung [Ẩn]
SÂU RĂNG Ở TRẺ EM: NGUYÊN NHÂN, TRIỆU CHỨNG VÀ CÁCH PHÒNG NGỪA?
Giới thiệu
Sâu răng là một trong những vấn đề phổ biến nhất mà trẻ em gặp phải. Theo ước tính, hầu hết trẻ em sẽ mắc phải ít nhất một lỗ sâu trong suốt thời thơ ấu của mình.
Vậy sâu răng là gì? Nguyên nhân nào dẫn đến tình trạng này và chúng ta có thể làm gì để ngăn ngừa nó? Hãy cùng tìm hiểu qua bài viết dưới đây.

Sâu răng là một trong những vấn đề phổ biến nhất mà trẻ em gặp phải
1. SÂU RĂNG LÀ GÌ?
Sâu răng là sự phá hủy của các mô của răng do sự hoạt động của vi khuẩn. Khi các vi khuẩn trong miệng hoạt động, chúng sẽ tạo ra axit từ thức ăn, đặc biệt là đường, dẫn đến việc làm hỏng men răng.
Các Giai Đoạn Của Sâu Răng
Giai đoạn 1: Mới bắt đầu - Tại giai đoạn này, men răng chỉ bị ảnh hưởng nhẹ, màu sắc có thể thay đổi.
Giai đoạn 2: Sâu răng nhẹ - Những lỗ nhỏ bắt đầu hình thành.
Giai đoạn 3: Sâu răng nặng - Lỗ sâu lớn hơn và có thể ảnh hưởng đến phần mềm bên trong răng.
Giai đoạn 4: Nhiễm trùng - Có thể dẫn đến tình trạng nhiễm trùng, đau nhức và cần điều trị khẩn cấp.
.jpg)
Hình ảnh răng của bị sâu
2. NGUYÊN NHÂN GÂY RA SÂU RĂNG Ở TRẺ EM
Có nhiều nguyên nhân dẫn đến việc trẻ em bị sâu răng, trong đó bao gồm:
2.1. Chế Độ Ăn
Tiêu thụ quá nhiều đường và đồ uống có đường.
Không duy trì chế độ ăn uống cân bằng và hợp lý.
2.2. Vệ Sinh Răng Miệng Kém
Không đánh răng đúng cách hoặc bỏ qua việc đánh răng.
Không dùng chỉ nha khoa để làm sạch kẽ răng.
2.3. Thiếu Fluoride
Fluoride là một khoáng chất giúp tăng cường men răng. Thiếu fluoride có thể khiến răng dễ bị sâu.
2.4. Đặc Điểm Sinh Lý
Răng của trẻ em có cấu trúc mỏng manh hơn so với người lớn, do đó dễ bị tổn thương hơn.

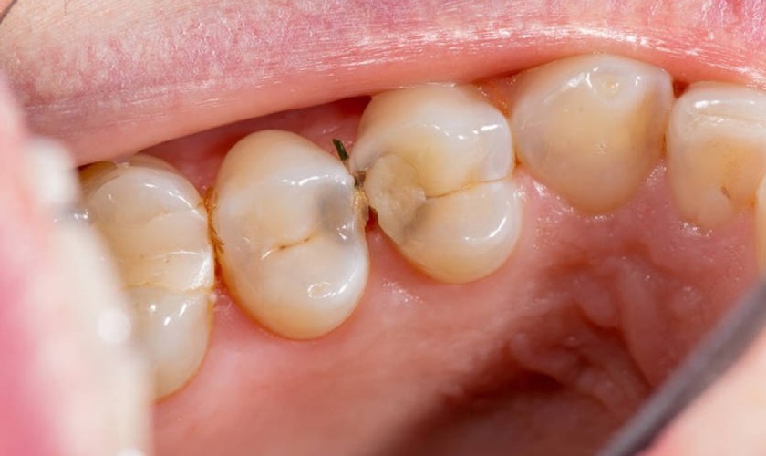
Hình ảnh kẽ răng bị sâu
3. TRIỆU CHỨNG CỦA SÂU RĂNG
Trẻ em khi mắc sâu răng có thể gặp phải những triệu chứng như:
Đau răng hoặc nhạy cảm khi ăn hoặc uống đồ lạnh/nóng.
Quấy khóc, không chịu ăn.
Có mùi hôi miệng.

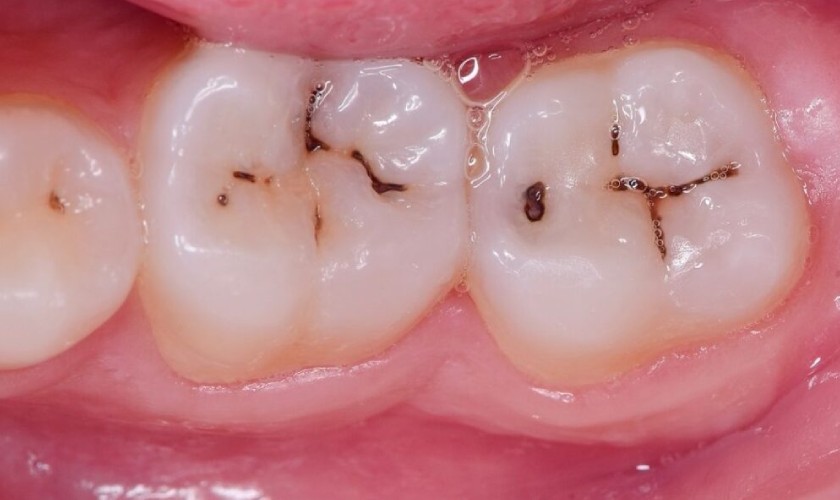
Hình ảnh mặt răng bị sâu
4. CÁCH PHÒNG NGỪA SÂU RĂNG Ở TRẺ EM
4.1. Duy Trì Chế Độ Ăn Uống Lành Mạnh
Hạn chế cho trẻ ăn đồ ngọt, nhiều đường.
Cung cấp nhiều trái cây và rau củ tươi.
4.2. Đánh Răng Đúng Cách
Hướng dẫn trẻ cách đánh răng đúng cách và đều đặn hai lần một ngày.
Sử dụng kem đánh răng có chứa fluoride.
4.3. Khám Răng Định Kỳ
Đưa trẻ đến nha sĩ kiểm tra định kỳ để phát hiện sớm các vấn đề về răng miệng.
4.4. Giải Pháp Khác
Sử dụng các loại thực phẩm hỗ trợ sức khỏe răng miệng.
Học cách giảm thiểu việc tiêu thụ đồ uống có ga.

Hình ảnh răng hàm lớn bị sâu
Ý KIẾN CHUYÊN GIA
Sâu răng là một vấn đề phổ biến nhưng hoàn toàn có thể phòng ngừa được. Bằng cách tạo thói quen tốt cho trẻ,
cha mẹ có thể giúp bảo vệ sức khỏe răng miệng cho con cái của mình.
Hãy tích cực giữ gìn vệ sinh răng miệng và đưa trẻ đi kiểm tra nha khoa định kỳ để tạo ra một nền tảng vững chắc cho sức khỏe răng miệng trong tương lai.
Bố mẹ ơi, đừng để sâu răng lấy đi nụ cười của con!
Từ những chiếc răng sâu đau nhức, dễ viêm nhiễm, giờ đây bé đã có hàm răng chắc khỏe, trắng sáng, lâu bền và tràn đầy tự tin.

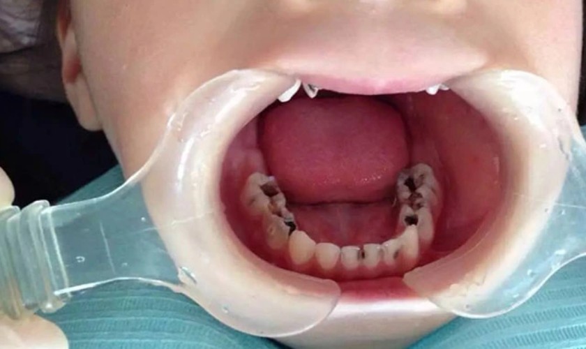
Hình ảnh bị sâu nhiều răng
Tại Nha Khoa Anh Thư
Chúng tôi hiểu, không gì khiến bố mẹ lo lắng bằng việc thấy con đau răng, biếng ăn, khó chịu.
Và chúng tôi cũng hiểu, mỗi nụ cười khỏe mạnh của con chính là niềm hạnh phúc lớn nhất của cả gia đình.
Với phương pháp điều trị nhẹ nhàng, không đau, đội ngũ nha khoa của chúng tôi sẽ giúp bé yêu vượt qua nỗi sợ nha sĩ,
lấy lại hàm răng khỏe đẹp một cách an toàn nhất.
Đặt lịch khám ngay hôm nay – Bảo vệ nụ cười và sức khỏe tương lai cho bé yêu ❤
☎️0359624516 - 0982456309
Số nhà 462 - Thôn 3 - Tích Lộc - Phúc Thọ - Hà Nội ( gần trường hữu nghị T78)
Xem Thêm:

