VIÊM TỦY RĂNG: HIỂU ĐÚNG DẤU HIỆU, NGUYÊN NHÂN VÀ PHƯƠNG PHÁP PHÒNG NGỪA HIỆU QUẢ
GIỚI THIỆU VỀ VIÊM TỦY RĂNG
Viêm tủy răng là một trong những vấn đề y tế răng miệng phổ biến, khiến nhiều người phải chịu đựng cơn đau và không thoải mái trong cuộc sống hàng ngày.
Theo thống kê của Trung tâm Kiểm soát và Phòng ngừa Dịch bệnh Hoa Kỳ (CDC), khoảng 25% người trưởng thành trong độ tuổi từ 20 đến 64 gặp phải tình trạng sâu răng – một trong những nguyên nhân chính dẫn đến viêm tủy. Tủy răng là phần mềm bên trong răng, chứa mô liên kết, dây thần kinh và mạch máu, có vai trò vô cùng quan trọng trong cảm nhận và nuôi dưỡng răng. Khi vi khuẩn xâm nhập vào tủy qua các lỗ sâu hoặc vết nứt, viêm tủy sẽ xảy ra, dẫn đến những hậu quả nghiêm trọng nếu không được điều trị kịp thời.

Hình ảnh răng hàm dưới bị viêm tủy
DẤU HIỆU NHẬN BIẾT VIÊM TỦY RĂNG
Viêm tủy răng có thể biểu hiện qua nhiều dấu hiệu và triệu chứng khác nhau. Một số dấu hiệu điển hình để nhận biết tình trạng này bao gồm:
- Cảm giác nhạy cảm: Răng sẽ trở nên nhạy cảm hơn đối với các yếu tố nhiệt độ, đặc biệt là khi ăn hoặc uống đồ lạnh hoặc nóng. Người bệnh có thể cảm nhận cơn đau đột ngột khi tiếp xúc với những thực phẩm này.
- Đau đớn dữ dội: Tình trạng đau nhức có thể phát triển từ nhẹ đến nặng, thường bao gồm đau nhói hoặc đau âm ỉ mà kéo dài. Cơn đau này có thể kéo dài hơn 30 giây sau khi tiếp xúc với thức ăn hoặc đồ uống có nhiệt độ cực đoan như nóng hoặc lạnh, hoặc đồ ngọt.
- Sưng nướu: Nếu vùng nướu quanh răng bị sưng đỏ, điều này có thể là một trong những dấu hiệu của viêm tủy không hồi phục. Sưng nướu cũng có thể đi kèm với cơn đau nhức và phần nướu có thể xuất hiện mủ.
Quan trọng là người bệnh không nên chờ đợi khi xuất hiện những dấu hiệu này, vì nếu để tình trạng kéo dài mà không có biện pháp can thiệp, tủy răng có thể bị hoại tử, từ đó gây đau đớn và khó chịu nghiêm trọng.

Đau đớn dữ dội là một biểu hiện của viêm tủy răng
NGUYÊN NHÂN CHÍNH GÂY VIÊM TỦY RĂNG
Viêm tủy răng có thể do nhiều nguyên nhân khác nhau dẫn đến, trong đó bao gồm:
1. Sâu răng: Đây là nguyên nhân phổ biến nhất. Khi vi khuẩn trong miệng sản sinh axit, men răng sẽ bị ăn mòn tạo ra những lỗ sâu. Lỗ sâu càng lớn, khả năng vi khuẩn xâm nhập vào tủy răng càng cao.
2. Vết nứt trên răng: Các vết nứt có thể xảy ra do các va chạm mạnh hoặc từ thiệt hại gây ra bởi việc nhai thức ăn cứng. Chúng tạo cơ hội cho vi khuẩn dễ dàng xâm nhập vào bên trong.
3. Thủ thuật nha khoa không đúng cách: Việc thực hiện các biện pháp như trám răng hay bọc răng sai kỹ thuật có thể dẫn đến tình trạng viêm tủy sau này.
4. Men răng bị mòn: Các thói quen xấu như nghiến răng hoặc đánh răng quá mạnh có thể làm me răng bị suy giảm lớp bảo vệ, dẫn đến tình trạng tổn thương niêm mạc và tủy bên trong.
5. Bệnh nha chu: Viêm nha chu nếu không được điều trị có thể lan rộng, gây ra viêm tủy và những vấn đề nghiêm trọng hơn đối với sức khỏe răng miệng.
.png)
Sâu răng là nguyên nhân phổ biến dẫn tới viêm tủy răng
CÁC YẾU TỐ RỦI RO DẪN ĐẾN VIÊM TỦY RĂNG
Nhiều yếu tố có thể làm tăng nguy cơ mắc viêm tủy răng như:
- Các bệnh lý hệ thống: Những bệnh lý như tiểu đường, suy giảm miễn dịch có thể làm cơ thể dễ mắc viêm tủy hơn.
- Chấn thương răng: Thường xuyên xảy ra trong thể thao hoặc tai nạn, chấn thương sẽ làm tổn thương răng và mở đường cho vi khuẩn.
- Chế độ ăn uống mất cân bằng: Tiêu thụ thực phẩm nhiều đường và carbohydrate tinh chế tạo điều kiện cho mảng bám phát triển, dễ dẫn đến sâu và viêm tủy.
- Chăm sóc răng miệng kém: Thiếu thói quen vệ sinh răng miệng thường xuyên là yếu tố trực tiếp gây ra bệnh lý này.

Vệ sinh răng miệng không tốt là nguyên nhân gây ra viêm tủy răng
PHÂN LOẠI VIÊM TỦY RĂNG
Viêm tủy răng có thể được phân loại dựa vào mức độ nghiêm trọng của triệu chứng và sự tiến triển của bệnh:
1. Viêm tủy có thể hồi phục: Giai đoạn đầu này có triệu chứng nhẹ, người bệnh chỉ cảm thấy ê buốt mà không nghiêm trọng. Nếu được điều trị kịp thời, tình trạng có thể hồi phục hoàn toàn.
2. Viêm tủy không hồi phục: Trong giai đoạn này, tủy đã bị tổn thương nghiêm trọng và sẽ cần can thiệp y tế ngay lập tức. Người bệnh thường gặp cơn đau mãnh liệt và có thể thấy dấu hiệu hoại tử.

Hình ảnh viêm tủy răng không phục hồi
VIÊM TỦY RĂNG GÂY NGUY HIỂM NHƯ THẾ NÀO?
Nếu không được điều trị một cách kịp thời, viêm tủy răng có thể gây nên những biến chứng nghiêm trọng:
- Xuất hiện áp xe: Hậu quả của tình trạng viêm có thể hình thành các ổ mủ, gây đau nhức và có nguy cơ nhiễm trùng nghiêm trọng.
- Nhiễm trùng: Viêm có thể lây lan đến xương hàm hoặc các mô mềm vùng đầu và cổ, ảnh hưởng nghiêm trọng đến sức khỏe tổng thể.
- Nguy hiểm đến tính mạng: Một số tình trạng nhiễm trùng, nếu không kịp thời tư vấn và điều trị, có thể trở nên nghiêm trọng và đe dọa đến tính mạng.

Hình ảnh áp xe do viêm tủy răng
CHẨN ĐOÁN BỆNH VIÊM TỦY
Để chẩn đoán chính xác tình trạng viêm tủy, bác sĩ nha khoa thường sử dụng một số phương pháp kết hợp:
- Đánh giá độ nhạy cảm của răng: Nha sĩ có thể thực hiện các xét nghiệm kiểm tra độ nhạy của tủy bằng cách áp dụng nhiệt độ hoặc gõ nhẹ vào răng.
- Xét nghiệm điện tủy: Phương pháp này giúp xác định chính xác tình trạng tủy còn sống hay đã chết.
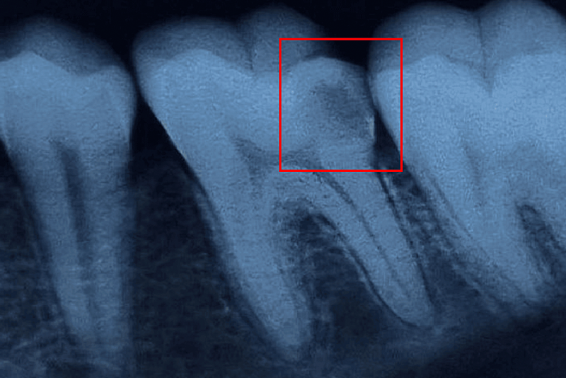
- Chụp X-quang: X-quang nha khoa giúp đánh giá tình trạng viêm có lan rộng hay không và phát hiện các vấn đề khác liên quan đến sức khỏe răng miệng.

Chụp X quang để kiểm tra tình trạng viêm tủy răng
PHƯƠNG PHÁP ĐIỀU TRỊ VIÊM TỦY RĂNG
Điều trị bệnh viêm tủy sẽ tùy thuộc vào tính trạng cụ thể của từng bệnh nhân:
1. Viêm tủy có thể hồi phục: Việc loại bỏ nguyên nhân và thực hiện trám răng có thể mang lại hiệu quả tốt.
2. Viêm tủy không hồi phục: Cần phải tiến hành điều trị tủy, loại bỏ toàn bộ mô tủy bị tổn thương và phục hồi răng bằng cách bọc hoặc làm lại răng.
3. Nhổ răng: Trong trường hợp mô tủy bị tổn thương nặng, việc nhổ răng có thể là phương án cuối cùng nhằm ngăn chặn sự lây lan của viêm nhiễm.
4. Sử dụng thuốc: Thuốc kháng sinh và giảm đau có thể hỗ trợ trong quá trình điều trị, giúp giảm cơn đau và tránh tình trạng nhiễm trùng lan rộng.

Dùng máy công nghệ file cá nhân để điều trị viêm tủy răng
CÁCH PHÒNG NGỪA VIÊM TỦY RĂNG HIỆU QUẢ
Để ngăn ngừa viêm tủy, việc chăm sóc răng miệng đúng cách là rất quan trọng và có thể thực hiện qua các biện pháp sau:
- Đánh răng đúng cách 2 lần/ngày: Sử dụng bàn chải mềm và kem đánh răng chứa fluoride để làm sạch các mảng bám và bảo vệ men răng.
- Sử dụng chỉ nha khoa hàng ngày: Điều này giúp loại bỏ các mảnh thức ăn và mảng bám giữa các răng mà bàn chải không thể tiếp cận.
- Thăm khám nha sĩ định kỳ: Ít nhất 6 tháng một lần để kiểm tra và làm sạch răng miệng, phát hiện sớm các vấn đề tiềm ẩn.
- Hạn chế thực phẩm ngọt và đồ uống có ga: Chế độ ăn uống lành mạnh, ít đường sẽ giúp giảm thiểu nguy cơ sâu răng và viêm tủy.

Vệ sinh thường xuyên và khám Nha sĩ định kỳ là cách phòng ngừa hiệu quả viêm tủy răng
KHI NÀO CẦN GẶP BÁC SĨ
Nếu bạn gặp triệu chứng đau răng hay cảm giác nhạy cảm bất thường, hãy thăm khám kịp thời. Việc can thiệp sớm là rất cần thiết để bảo vệ sức khỏe răng miệng của bạn và tránh các biến chứng nguy hiểm có thể xảy ra.
Tại Phòng Khám Nha Khoa Anh Thư, chúng tôi luôn sẵn sàng hỗ trợ và điều trị các vấn đề về răng miệng của bạn. Với đội ngũ bác sĩ có nhiều kinh nghiệm cùng trang thiết bị hiện đại, hãy đặt lịch hẹn để được tư vấn và chăm sóc răng miệng tốt nhất cho bạn!
website: https://nhakhoasontay.vn/
Liên hệ ngay 0359624516 để được tư vấn miễn phí
Địa chỉ: Số nhà 462 - Thôn 3 - Tích Lộc - Phúc Thọ - Hà Nội
Đặt lịch hẹn online dễ dàng - Tiết kiệm thời gian

