Tóm tắt nội dung [Ẩn]
Giới Thiệu
Răng số 8 có thể gây ra nhiều vấn đề nếu không được chăm sóc đúng cách.
Việc theo dõi tình trạng răng miệng và có kế hoạch chăm sóc hợp lý sẽ giúp bảo vệ sức khỏe răng miệng của bạn.
1. RĂNG SỐ 8 LÀ GÌ?
Răng số 8 là răng hàm lớn thứ ba, thường mọc lên sau khi các răng khác đã có mặt.
Ở hầu hết mọi người, răng số 8 thường xuất hiện trong độ tuổi từ 17 đến 25.
Đối với nhiều người, răng số 8 có thể không mọc hoặc nếu có thì có thể mọc lệch,gây ra các vấn đề về sức khỏe răng miệng.

Hình ảnh răng số 8 mọc lệch đâm vào răng số 7
2. VAI TRÒ CỦA RĂNG SỐ 8
Mặc dù răng số 8 không phải là một yếu tố cần thiết cho việc nhai, nhưng nó vẫn có những vai trò nhất định trong hàm răng:
Cân bằng lực nhai: Răng số 8 giúp phân phối lực nhai đều hơn trên toàn bộ hàm.
Thẩm mỹ: Đối với một số người, răng số 8 có thể góp phần làm đầy đặn cho hàm dưới và tạo nên nụ cười tự tin hơn.

Sơ đồ răng được bố trí trong hàm
3. NHỮNG VẤN ĐỀ THƯỜNG GẶP VỚI RĂNG SỐ 8
Răng số 8 có thể gây ra một số vấn đề sức khỏe nếu không được theo dõi và chăm sóc đúng cách. Một số vấn đề phổ biến bao gồm:
Mọc lệch: Răng số 8 có thể mọc lệch, không thẳng hàng với các răng khác, dẫn đến đau đớn và khó chịu.
Thiếu không gian: Do không gian trong hàm có hạn, răng số 8 không có đủ chỗ để mọc, thường sẽ bị kẹt và gây viêm nhiễm.
Viêm lợi: Quá trình mọc của răng số 8 có thể dẫn đến viêm lợi, làm sưng và đau vùng miệng.
Nhiễm trùng: Nếu răng 8 không mọc hoàn toàn và có một phần ẩn, dễ dàng trở thành nơi trú ngụ của vi khuẩn, dẫn đến nhiễm trùng.

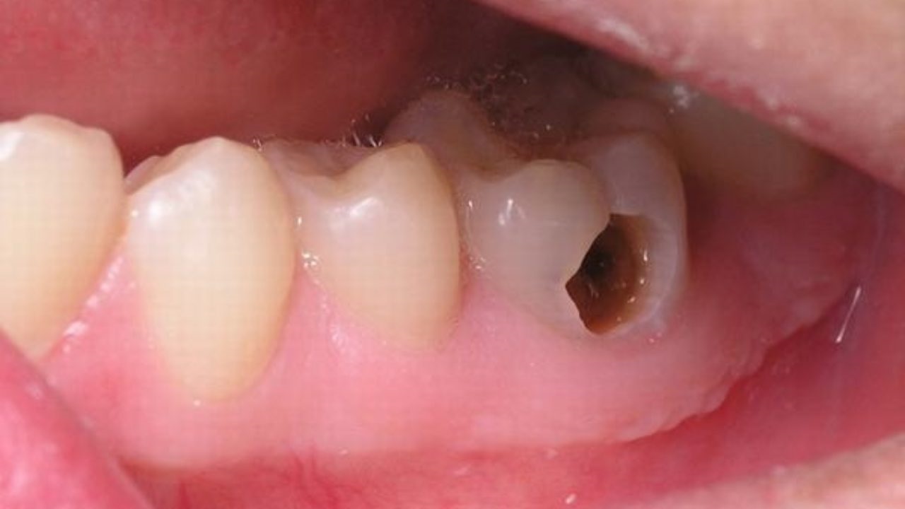
Hình ảnh răng 8 bị sâu, vỡ
4. CÁCH CHĂM SÓC RĂNG SỐ 8
Để đảm bảo sức khỏe răng miệng, việc chăm sóc răng số 8 là rất quan trọng. Dưới đây là một số cách chăm sóc hiệu quả:
Vệ sinh răng miệng: Đánh răng ít nhất hai lần một ngày và sử dụng chỉ nha khoa để đảm bảo không có thức ăn còn sót lại giữa các răng.
Khám răng định kỳ: Nên đến nha sĩ kiểm tra định kỳ để kịp thời phát hiện và xử lý các vấn đề liên quan đến răng số 8.
Chế độ ăn uống hợp lý: Tránh thực phẩm quá cứng hoặc quá dính có thể làm tổn thương đến răng.

Hình ảnh răng số 8 mọc lệch đâm vào răng số 7
5. PHƯƠNG PHÁP ĐIỀU TRỊ CÁC VẤN ĐỀ LIÊN QUAN ĐẾN RĂNG SỐ 8
Khi gặp phải các vấn đề liên quan đến răng số 8, có một số phương pháp điều trị phổ biến:
Nhổ răng: Trong nhiều trường hợp, bác sĩ nha khoa sẽ chỉ định nhổ bỏ răng số 8 nếu nó gây ra vấn đề nghiêm trọng.
Điều trị nội nha: Nếu răng số 8 có dấu hiệu nhiễm trùng nhưng vẫn có thể giữ lại được, bác sĩ có thể thực hiện điều trị nội nha.
Kháng sinh: Nếu có dấu hiệu viêm nhiễm, bác sĩ có thể kê đơn thuốc kháng sinh để giảm viêm.

Nhổ răng số 8 tại Nha Khoa Anh Thư
6. FAQs
Q: Răng số 8 có nhất thiết phải nhổ không?
A: Không phải lúc nào cũng cần nhổ răng số 8. Tuy nhiên, nếu nó gây ra đau đớn hoặc các vấn đề khác, nha sĩ có thể khuyến nghị nhổ.
Q: Làm thế nào để giảm đau khi răng số 8 mọc?
A: Sử dụng thuốc giảm đau theo hướng dẫn của bác sĩ và thực hiện các biện pháp chăm sóc răng miệng đúng cách.
Q: Có cần kiểm tra răng số 8 thường xuyên không?
A: Có, việc kiểm tra định kỳ giúp phát hiện các vấn đề sớm để điều trị kịp thời.

Những điều cần biết khi nhổ răng số 8
NHỔ RĂNG 8 -KHÔNG ĐAU MAU LÀNH cùng Nha Khoa Anh Thư❌❌
Giải quyết những phiền toái khó chịu do răng số 8 gây ra.
-Tác hại của R8 mọc lệch:
-Khó chịu khi ăn nhai,mất tự tin khi giao tiếp
-Làm khuân mặt bị sưng phù mất thẩm mỹ,đau đớn khó chịu,không ăn nhai được
-R8 sâu vào tuỷ gây đau nhức nhiều, gây hỏng răng số 7 bên cạnh
-Giải pháp tốt nhất là loại bỏ răng 8 càng sớm càng tốt
Với công nghệ nhổ răng hiện đại kết hợp máy siêu âm piezotom loại bỏ hoàn toàn lo lắng của bạn, tiết kiệm thời gian chi phí, liền thương nhanh chóng, hạn chế dùng thuốc.
❤️Nha Khoa Anh Thư❤️Trao Nhiệt Huyết❤️Nhận Yêu Thương.
☎️ Inbox ngay hoặc gọi HOTLINE: 0359.624.516 hoặc 0353.615.605 để được tư vấn và đặt lịch!
Số nhà 462 - Thôn 3 - Tích Lộc - Phúc Thọ - Hà Nội (cách Trường Hữu Nghị T78 khoảng 200m về hướng Sơn Tây)

