TRỒNG RĂNG THÁO LẮP: ƯU NHƯỢC ĐIỂM VÀ NHỮNG LỰA CHỌN MỌI NGƯỜI NÊN BIẾT
Trong thời đại hiện đại ngày nay, sức khỏe răng miệng không chỉ là vấn đề sức khỏe mà còn ảnh hưởng sâu sắc tới thẩm mỹ và sự tự tin của mỗi cá nhân.
Một trong những giải pháp phổ biến và hiệu quả cho tình trạng mất răng là trồng răng tháo lắp.
Vậy thực sự phương pháp này có những ưu và nhược điểm gì?
Hãy cùng Bác sĩ Ck1 Nguyễn Quỳnh Thư - Phòng khám răng Nha Khoa Anh Thư khu vực Sơn Tây - Phúc Thọ - Hà Nội khám phá chi tiết để từ đó có cái nhìn tổng quan và đưa ra quyết định phù hợp cho sức khỏe răng miệng của mình.

Hình ảnh đủ 2 hàm răng giả tại Nha Khoa Anh Thư
1. KHÁI QUÁT VỀ PHƯƠNG PHÁP TRỒNG RĂNG THÁO LẮP
1.1. Trồng răng tháo lắp là gì?
Trồng răng tháo lắp, hay còn gọi là phục hình tháo lắp, đại diện cho một phương pháp phục hồi những răng đã mất bằng cách lắp đặt một sản phẩm răng giả có thể tháo ra dễ dàng. Được thiết kế để không chỉ mang lại tính thẩm mỹ mà còn nâng cao khả năng ăn nhai, trồng răng tháo lắp hiện đang được nhiều người lựa chọn. Đặc biệt, sự tiện lợi trong việc vệ sinh cũng là một trong những ưu điểm nổi bật của phương pháp này.
Hàm giả tháo lắp bao gồm hai phần chính:
- Phần nền hàm: Làm từ nhựa Acrylic hoặc hợp kim, phần này cung cấp sự chắc chắn và ổn định cần thiết cho việc lắp đặt.
- Phần răng giả: Có thể được chế tạo từ nhựa hoặc sứ, tạo hình và màu sắc tương tự như răng tự nhiên, giúp phục hồi vẻ đẹp của nụ cười.
.png)
Cấu tạo gồm phần nền hàm và phần răng giả
1.2. Phân loại hàm giả tháo lắp
Dựa vào tình trạng mất răng, hàm giả tháo lắp được chia thành hai loại:
- Hàm giả toàn phần: Sử dụng cho những trường hợp toàn bộ răng hàm đã mất, giúp che phủ toàn bộ phần nướu và xương hàm.
- Hàm giả bán phần: Dành cho những người mất một hoặc một vài răng, nơi răng giả được gắn trên nền nhựa dẻo hoặc khung kim loại.

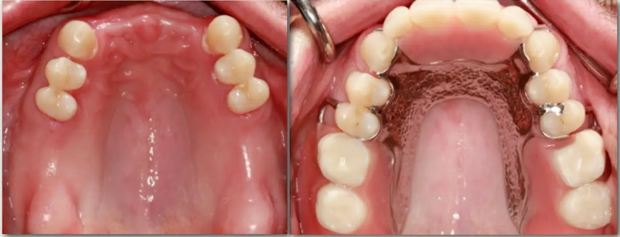
Dành cho người mất một vài hoặc nhiều răng
1.3. Những ai nên trồng răng tháo lắp?
Hàm giả tháo lắp là lựa chọn lý tưởng cho những ai:
- Đang gặp phải tình trạng mất một hoặc nhiều răng.
- Chưa đủ điều kiện tài chính cho cấy ghép implant.
- Không muốn trải qua phẫu thuật phức tạp.
- Được bác sĩ nha khoa chỉ định do sức khỏe răng miệng không phù hợp với các phương pháp phục hồi khác.

Phục hình răng đã mất
2. ƯU ĐIỂM VÀ NHƯỢC ĐIỂM CỦA PHƯƠNG PHÁP TRỒNG RĂNG THÁO LẮP
2.1. Ưu điểm
- Tiết kiệm chi phí: Trồng răng tháo lắp được coi là phương pháp phục hình kinh tế nhất, rất phù hợp với những ai có ngân sách hạn chế.
So với các phương pháp cấy ghép khác, chi phí cho hàm giả tháo lắp thường chỉ bằng một phần nhỏ.
- Đảm bảo thẩm mỹ: Hàm giả tháo lắp giúp lấp đầy khoảng trống do mất răng, mang lại cho người sử dụng một nụ cười tự nhiên và đầy sức hút.
Màu sắc và hình dạng của răng giả thường được thiết kế tương thích để phù hợp với màu sắc răng thật, góp phần tạo nên sự tự tin trong giao tiếp hàng ngày.
- Tiện lợi trong ăn nhai: Người dùng có thể ăn nhai thoải mái nhờ vào việc vững chãi của hàm giả.
Tuy nhiên, để tránh tình trạng hàm giả bị xô lệch, người sử dụng nên hạn chế ăn các loại thực phẩm cứng hoặc dai.
- Dễ dàng chăm sóc và vệ sinh: Hàm giả tháo lắp có thể dễ dàng tháo ra và vệ sinh, giúp tiết kiệm thời gian và công sức cho người sử dụng.
Việc này đóng vai trò quan trọng trong việc duy trì sức khỏe răng miệng.

Dễ dàng thường xuyên chăm sóc vệ sinh
2.2. Nhược điểm
- Tiêu xương hàm: Một trong những nhược điểm lớn nhất của phương pháp này là tình trạng tiêu xương hàm.
Do hàm giả không tương tác với xương hàm như các phương pháp implant, nên xương hàm có thể dần tiêu biến theo thời gian.
- Độ bền không cao: Răng giả có thể bị lung lay sau một thời gian sử dụng, điều này không chỉ ảnh hưởng đến khả năng ăn nhai
mà còn có thể gây khó khăn trong việc phát âm.
- Cần điều chỉnh thường xuyên: Mặc dù hàm giả tháo lắp mang lại sự tiện lợi nhưng người sử dụng thường xuyên phải quay lại nha sĩ để điều chỉnh,
do sự thay đổi của xương hàm theo thời gian có thể làm mất sự vừa vặn ban đầu.
- Nguy cơ gãy, vỡ hoặc thất lạc: Việc tháo rời để vệ sinh có thể dẫn đến tình trạng làm rơi hoặc bể hàm giả, gây khó khăn trong việc phục hồi.

Độ bền không cao, cần điều chỉnh thường xuyên
3. QUY TRÌNH THỰC HIỆN TRỒNG RĂNG THÁO LẮP
Để đảm bảo an toàn và hiệu quả, quy trình trồng răng tháo lắp cần được thực hiện qua các bước sau:
- Bước 1: Thăm khám và tư vấn: Bác sĩ sẽ kiểm tra sức khỏe răng miệng tổng quát và chụp x-quang để đưa ra phương án điều trị tối ưu nhất cho từng cá nhân.
- Bước 2: Lấy dấu hàm: Đây là thao tác cần thiết để tạo mẫu hàm chuẩn xác cho việc chế tác hàm giả.
- Bước 3: Gắn hàm giả: Sau khi hàm giả được chế tác, bác sĩ sẽ tiến hành gắn chúng vào vị trí cần phục hình,
đồng thời điều chỉnh để đảm bảo sự thoải mái và chính xác cho người dùng.
- Bước 4: Hướng dẫn chăm sóc tại nhà: Sau khi gắn hàm, người bệnh sẽ được tư vấn kỹ lưỡng về cách tháo lắp và vệ sinh hàm giả đúng cách,
nhằm kéo dài tuổi thọ và duy trì sức khỏe răng miệng.

Hình ảnh răng giả tháo lắp được gắn vào hàm
4. NHỮNG LƯU Ý KHI CHĂM SÓC VÀ VỆ SINH RĂNG THÁO LẮP
Để giữ gìn hàm giả luôn trong tình trạng tốt nhất, người sử dụng cần tuân thủ những chỉ dẫn sau:
- Vệ sinh răng giả: Sử dụng bàn chải có lông mềm để làm sạch hàm giả ít nhất 2 lần mỗi ngày.
Không nên dùng kem đánh răng vì có thể gây tổn hại đến độ bền của răng giả.
- Ngâm bàn chải: Sử dụng dung dịch clorin để ngâm bàn chải ít nhất một lần mỗi tuần để khử trùng.
- Chăm sóc nướu: Đừng quên súc miệng và chăm sóc nướu ít nhất 2 lần mỗi ngày, đặc biệt là sau khi ăn những món ăn có khả năng bám dính.

Vệ sinh thường xuyên giúp răng bền đẹp
Ý KIẾN CHUYÊN GIA
Trồng răng tháo lắp là một giải pháp phục hình hợp lý cho nhiều người,
đặc biệt khi ngân sách hạn chế hoặc không có điều kiện thực hiện các phương pháp phục hồi phức tạp khác.
Tuy nhiên, người tiêu dùng cần cân nhắc kỹ lưỡng về những nhược điểm của phương pháp này
đồng thời tham khảo ý kiến từ bác sĩ nha khoa trước khi đưa ra quyết định.
Từ trải nghiệm của những người đi trước, việc đầu tư thời gian và sự quan tâm vào sức khỏe răng miệng sẽ giúp bạn sở hữu nụ cười tỏa sáng và cuộc sống khỏe mạnh.
Các bạn hãy đến Nha Khoa Anh Thư – nơi khởi đầu cho nụ cười khỏe mạnh và tỏa sáng!
Inbox ngay hoặc gọi HOTLINE: 0359.624.516 hoặc 0353.615.605 để được tư vấn và đặt lịch khám!
Số nhà 462 - Thôn 3 - Tích Lộc - Phúc Thọ - Hà Nội (cách Trường Hữu Nghị T78 khoảng 200m về hướng Sơn Tây)

