TÌM HIỂU VỀ CAO RĂNG: NGUYÊN NHÂN, TÁC HẠI VÀ CÁCH NGĂN NGỪA
Giới thiệu:
Trong những buổi kiểm tra răng miệng, nha sĩ thường nhấn mạnh tầm quan trọng của việc vệ sinh răng miệng đúng cách: đánh răng, sử dụng chỉ nha khoa và súc miệng bằng nước súc miệng kháng khuẩn.
Những thành phần này không chỉ giúp làm sạch răng mà còn đóng vai trò quan trọng trong việc ngăn ngừa sự hình thành cao răng – một vấn đề sức khỏe răng miệng phổ biến nhưng thường bị bỏ qua. Vậy cao răng thực sự là gì? Tại sao nó lại hình thành? Và hậu quả của việc cao răng có thể gây ra cho sức khỏe của bạn là gì?
Bài viết của Bác sĩ CK1 Nguyễn Quỳnh Thư - Nha Khoa Anh Thư dưới đây sẽ cung cấp cho bạn cái nhìn toàn diện về cao răng, từ nguyên nhân hình thành đến những phương pháp ngăn ngừa và loại bỏ hiệu quả.

Hình ảnh răng sạch sẽ sau khi lấy cao răng tại Nha Khoa Anh Thư
CAO RĂNG LÀ GÌ?
Cao răng, hay còn được gọi là vôi răng, là một lớp mảng bám cứng tồn tại trong khoang miệng, hình thành từ sự lắng đọng của các khoáng chất trong nước bọt cùng với các vi khuẩn và phần dư thừa của thực phẩm. Được hình thành cả ở bề mặt trên và dưới đường viền nướu, nếu không được làm sạch kịp thời, cao răng có thể trở thành
mối đe dọa cho sức khỏe răng miệng của bạn.
Mỗi ngày, trong khoang miệng của chúng ta chứa hàng triệu vi khuẩn; khi không vệ sinh răng miệng đúng cách sau khi ăn, các vi khuẩn này sẽ kết hợp với mảnh vụn thức ăn tạo nên mảng bám – một chất dẻo mềm. Qua thời gian, nếu không được làm sạch định kỳ, mảng bám này sẽ cứng lại và chuyển hóa thành cao răng, mà việc chỉ chải răng đơn thuần không thể loại bỏ.

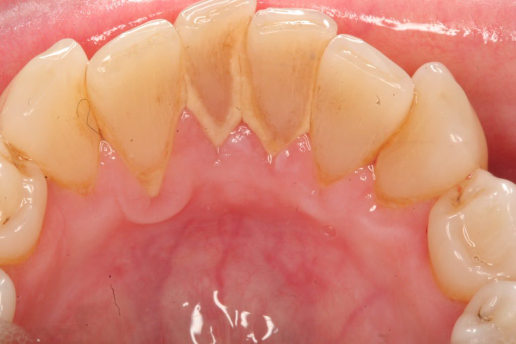
Hình ảnh cao răng của bệnh nhân
HẬU QUẢ CỦA CAO RĂNG
Ngoài vấn đề thẩm mỹ, cao răng còn có thể tạo ra những hệ lụy nghiêm trọng cho sức khỏe răng miệng.
Thành phần cơ bản của cao răng chứa nhiều vi khuẩn, những vi khuẩn này có khả năng làm hỏng men răng,
dẫn đến các bệnh lý nướu, và thậm chí nguy hiểm hơn là gây mất răng.
Sự hiện diện của cao răng có thể làm nướu trở nên nhạy cảm và dễ bị viêm; nếu không được điều trị,
nó có thể tiến triển thành viêm nha chu – một tình trạng nghiêm trọng có thể dẫn đến tổn thương xương hàm
và ảnh hưởng đến khả năng nhai cũng như thẩm mỹ của khuôn mặt.
Hơn nữa, một số nghiên cứu còn cho thấy rằng vi khuẩn trong cao răng có thể liên quan đến các vấn đề sức khỏe khác
như bệnh tim mạch và tiểu đường, bởi vì chúng có thể xâm nhập vào dòng máu và gây ra viêm nhiễm.

Hậu quả của cao răng là tương đối cần quan tâm
PHÂN LOẠI CAO RĂNG
Cao răng có thể được phân loại thành hai loại chính:
Cao Răng Thường: Loại cao răng này thường xuất hiện ở cổ răng với màu trắng đục hoặc vàng nhẹ.
Những người có thói quen hút thuốc lá sẽ thấy cao răng có màu tối hơn do sự tích tụ của các hợp chất trong khói thuốc.
Cao răng thường khiến nướu sưng tấy, dễ chảy máu và là yếu tố chính gây nên viêm nướu nếu không điều trị kịp thời.
Cao Răng Huyết Thanh: Thường nằm ở vùng nướu dưới, cao răng huyết thanh có màu đỏ nâu hoặc nâu đen, chứa lượng vi khuẩn cao hơn,
làm tăng nguy cơ viêm nhiễm nướu, dẫn đến tình trạng nặng hơn so với cao răng thường.

Hình ảnh lấy cao răng bằng máy siêu âm Maverick
QUÁ TRÌNH HÌNH THÀNH CAO RĂNG
Cao răng hình thành qua một quá trình không ngừng diễn ra trong khoang miệng.
Khi vi khuẩn trong miệng sử dụng đường và protein từ thực phẩm, chúng tạo ra mảng bám.
Nếu không được làm sạch đàn hồi và thường xuyên, mảng bám này sẽ hấp thụ các khoáng chất trong nước bọt
và dần dần cứng lại để chuyển hóa thành cao răng.
Các nghiên cứu chỉ ra rằng thành phần chính của cao răng là vi khuẩn chết sau khi đã khoáng hóa và một lượng nhỏ protein khoáng hóa,
tạo ra một lớp màng cứng khó chịu cho người mắc phải.

Vệ sinh răng miệng đúng cách góp phần ngăn ngừa quá trình hình thành cao răng
NGUYÊN NHÂN HÌNH THÀNH CAO RĂNG
Vấn đề hình thành cao răng chủ yếu bắt nguồn từ chế độ ăn uống. Việc tiêu thụ quá nhiều thực phẩm chứa đường và tinh bột mà không vệ sinh răng miệng đúng cách hoàn toàn có thể dẫn đến sự hình thành mảng bám và từ đó hình thành cao răng. Những thói quen sinh hoạt không tốt như lười đánh răng hoặc bỏ qua việc dùng chỉ nha khoa cũng là nguyên nhân tiềm tàng dẫn đến sự tích tụ cao răng ngày càng nhiều trong khoang miệng.

Vệ sinh răng miệng đúng cách góp phần ngăn ngừa nguyên nhân hình thành cao răng
TÁC HẠI CỦA CAO RĂNG
Cao răng không thể được loại bỏ hoàn toàn bằng việc chải răng thông thường hoặc sử dụng chỉ nha khoa. Sau khi đã hình thành, nó có khả năng dẫn đến nhiều vấn đề nghiêm trọng trong sức khỏe răng miệng như sâu răng, viêm nướu và tổn thương men răng. Các vấn đề này không chỉ ảnh hưởng đến cảm giác thoải mái khi ăn uống mà còn có thể dẫn đến chi phí điều trị cao hơn sau này. Việc duy trì vệ sinh răng miệng thường xuyên và định kỳ đến nha sĩ kiểm tra làm sạch răng miệng, bao gồm cả việc loại bỏ cao răng, là biện pháp hiệu quả nhất để ngăn ngừa các ảnh hưởng nghiêm trọng này.

Khám nha sĩ định kỳ để chăm sóc răng miệng tốt hơn
LÀM SAO ĐỂ PHÁT HIỆN CAO RĂNG TÍCH TỤ?
Cao răng có thể dễ dàng nhận biết bằng mắt thường, thường có màu vàng hoặc nâu. Ngoài ra, nếu bạn cảm thấy có dấu hiệu khó chịu ở nướu, hoặc thấy nướu có màu đỏ tấy, dễ chảy máu, bạn cũng nên nghĩ đến khả năng cao răng đang hiện hữu. Để có sự kiểm tra chính xác và kịp thời, bạn nên đến nha sĩ để được khám và làm sạch răng miệng định kỳ. Tại nhà, bạn cũng có thể sử dụng các sản phẩm phát hiện mảng bám để giúp xác định vùng nào cần được chăm sóc nhiều hơn, từ đó có những biện pháp khắc phục kịp thời.

Khám và làm sạch răng miệng định kỳ cùng nha sĩ
BIỆN PHÁP NGĂN NGỪA CAO RĂNG
Để tránh cao răng hình thành, có một số biện pháp đơn giản nhưng hiệu quả mà bạn có thể thực hiện:
Đánh Răng Đều Đặn: Đánh răng ít nhất 2-3 lần mỗi ngày với bàn chải mềm và kem đánh răng chứa fluoride để giúp làm sạch răng và bảo vệ men răng.
Sử Dụng Chỉ Nha Khoa: Dùng chỉ nha khoa tối thiểu 2 lần mỗi ngày để loại bỏ thức ăn thừa và mảng bám nhớt ở kẽ răng – nơi mà bàn chải đánh răng thường không thể chạm tới.
Súc Miệng Kháng Khuẩn: Sử dụng nước súc miệng không chứa cồn để tiêu diệt vi khuẩn tích tụ và giảm thiểu mảng bám.
Khám Răng Thường Xuyên: Hãy đến nha sĩ ít nhất mỗi 6 tháng để kiểm tra và làm sạch răng miệng. Điều này không chỉ giúp phát hiện sớm các vấn đề mà còn giúp loại bỏ cao răng hiệu quả.

Đến khám nha sĩ định kỳ là biện pháp tốt nhất bảo vệ răng của bạn
KHI NÀO THÌ NÊN ĐI KHÁM NHA SĨ
Cao răng không chỉ đơn thuần là vấn đề về thẩm mỹ mà thực sự là mối lo ngại lớn cho sức khỏe răng miệng mà nhiều người không mấy quan tâm.
Hãy chăm sóc răng miệng của bạn một cách đúng mực, thực hiện vệ sinh răng miệng cẩn thận và đến nha sĩ thường xuyên để ngăn chặn sự hình thành
cao răng – bảo vệ sức khỏe tổng thể của bạn.
Bắt đầu từ hôm nay, hãy thực hiện những thói quen vệ sinh răng miệng tốt để có được nụ cười khỏe mạnh, tỏa sáng và tràn đầy tự tin trong mỗi cuộc
giao tiếp hàng ngày.Nếu bạn nhận thấy có dấu hiệu cao răng hoặc gặp các vấn đề nghiêm trọng như sâu răng, viêm nướu, hoặc có cảm giác đau ở vùng miệng,
hãy đến nha sĩ ngay để được kiểm tra và điều trị kịp thời.
Tại Phòng Khám Nha Khoa Anh Thư Sơn Tây, chúng tôi tự hào có đội ngũ bác sĩ dày dạn kinh nghiệm cùng thiết bị hiện đại,
cam kết giúp bạn nhanh chóng thoát khỏi cao răng cũng như chăm sóc sức khỏe răng miệng hiệu quả và an toàn.
Inbox ngay hoặc gọi HOTLINE: 0359624516 hoặc 0353615605 để được tư vấn và đặt lịch!
Số nhà 462 - Thôn 3 - Tích Lộc - Phúc Thọ - Hà Nội (cách Trường hữu nghị T78 khoảng 200m về hướng Sơn Tây)

