Tóm tắt nội dung [Ẩn]
ÁP XE RĂNG: DẤU HIỆU, NGUYÊN NHÂN VÀ BIẾN CHỨNG THƯỜNG GẶP
GIỚI THIỆU
Áp xe răng là một tình trạng nhiễm trùng phổ biến có thể gây ra nhiều cơn đau và biến chứng nếu không được điều trị kịp thời. Bài viết này sẽ giúp bạn hiểu rõ hơn về áp xe răng, từ dấu hiệu nhận biết đến các nguyên nhân gây bệnh và những biến chứng có thể xảy ra.
.jpg)
Áp xe răng có thể gây ra nhiều cơn đau và biến chứng nếu không được điều trị kịp thời
ÁP XE RĂNG LÀ GÌ?
Áp xe răng là một túi mủ hình thành do nhiễm trùng vi khuẩn xung quanh răng. Vi khuẩn có thể xâm nhập vào các mô xung quanh qua mảng bám hoặc lỗ sâu trên răng, dẫn đến tổn thương cho nướu và mô quanh răng. Tình trạng này không chỉ gây đau đớn mà còn có thể lan sang các khu vực khác nếu không được điều trị kịp thời.

Áp xe răng do nhiễm trùng vi khuẩn xung quanh răng
CÁC LOẠI ÁP XE RĂNG
Áp xe răng được chia thành ba loại chính như sau:
1. ÁP XE QUANH CHÓP
Xảy ra ở đầu chân răng, thường do sâu răng hoặc chấn thương. Đây là loại áp xe phổ biến nhất và có thể gây ra nhiều biến chứng nếu không điều trị kịp thời.
2. ÁP XE NHA CHU
Bắt đầu từ nướu quanh chân răng, thường gặp ở người lớn. Loại áp xe này thường dẫn đến tình trạng mất răng nếu không được chăm sóc đầy đủ.
3. ÁP XE NƯỚU
Do nhiễm trùng vi khuẩn gây ra trong nướu, loại áp xe này thường không làm ảnh hưởng đến cấu trúc răng nhưng cần được chú ý để tránh tình trạng nghiêm trọng hơn.

Hình ảnh áp xe quanh chóp
DẤU HIỆU NHẬN BIẾT ÁP XE RĂNG
Các triệu chứng của áp xe răng bao gồm:
- Đau nhói và dai dẳng
- Sưng nướu và đỏ
- Nhạy cảm với nhiệt độ
- Đau khi nhai
- Hôi miệng và vị đắng
- Sốt và ớn lạnh
Nếu bạn gặp phải bất kỳ dấu hiệu nào trong số này, hãy nhanh chóng tìm kiếm sự hỗ trợ từ bác sĩ chuyên khoa.

Một số dấu hiệu nhận biết áp xe răng là sưng nướu, đỏ, đau nhói và dai dẳng
NGUYÊN NHÂN GÂY ÁP XE RĂNG
Nguyên nhân chính dẫn đến áp xe răng bao gồm:
- Sâu Răng: Vi khuẩn gây tổn thương tủy răng.
- Bệnh Nha Chu: Nhiễm trùng xung quanh răng làm tăng nguy cơ áp xe.
- Chấn Thương Răng: Răng gãy hoặc nứt cho phép vi khuẩn xâm nhập dễ dàng.
- Vệ Sinh Răng Miệng Kém: Tích tụ mảng bám dẫn đến vi khuẩn phát triển.

Một số nguyên nhân gây áp xe răng là sâu răng, bệnh nha chu
PHƯƠNG PHÁP CHẨN ĐOÁN
Bác sĩ sẽ tiến hành:
- Khám Lâm Sàng: Gõ hoặc ấn nhẹ lên răng để kiểm tra độ nhạy cảm.
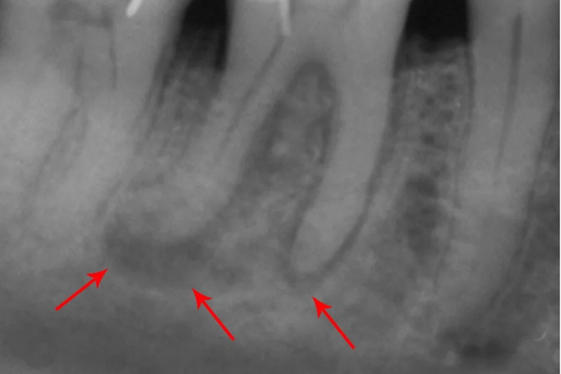
- Chụp X-quang: Để xác định vùng nhiễm trùng.
- Xét Nghiệm Vi Khuẩn: Kiểm tra loại vi khuẩn gây bệnh nếu cần thiết.

Chụp X-quang để xác định vùng nhiễm trùng trong áp xe răng
BIẾN CHỨNG CỦA ÁP XE RĂNG
Nếu không được điều trị, áp xe răng có thể dẫn đến:
- Nhiễm Trùng Lan Rộng: Gây tổn thương cho xương hàm và các mô khác.
- Viêm Mô Mềm: Có thể xảy ra tại mặt hoặc cổ.
- Nhiễm Trùng Huyết: Nguy hiểm đến tính mạng nếu không được can thiệp kịp thời.

Biến chứng do áp xe gây tổn thương cho xương hàm và các mô khác
PHƯƠNG PHÁP ĐIỀU TRỊ ÁP XE RĂNG
Điều trị gồm hai giai đoạn chính:
1. ĐIỀU TRỊ CẤP TÍNH
- Rạch và Dẫn Dịch: Giúp giảm đau và loại bỏ mủ.
- Thuốc Kháng Sinh: Ngăn ngừa tái phát nhiễm trùng.
2. ĐIỀU TRỊ TẬN GỐC
- Điều Trị Tủy Răng: Loại bỏ phần tủy nhiễm trùng.
- Nhổ Răng: Khi răng đã không thể phục hồi.

Điều trị áp xe răng gồm điều trị cấp tính và điều trị tận gốc
CHĂM SÓC SAU ĐIỀU TRỊ
Sau khi điều trị, cần thực hiện các biện pháp chăm sóc như:
- Vệ Sinh Răng Miệng Đúng Cách: Đánh răng và sử dụng chỉ nha khoa thường xuyên.
- Khám Răng Định Kỳ: Mỗi 6 tháng/lần để ngăn ngừa tái phát.

Khám nha sĩ định kỳ để ngăn ngừa tái phát áp xe răng
CÁCH PHÒNG NGỪA ÁP XE RĂNG
Để ngăn ngừa áp xe răng, hãy:
- Đánh Răng Hai Lần Ngày: Sử dụng kem đánh răng có fluoride.
- Sử Dụng Chỉ Nha Khoa Thường Xuyên: Để sạch sẽ vùng kẽ răng.
- Hạn Chế Đường: Kiểm soát lượng đường trong chế độ ăn.

Vệ sinh răng thường xuyên để phòng ngừa áp xe răng
KHI NÀO CẦN GẶP BÁC SĨ?
Nếu có dấu hiệu áp xe răng, đặc biệt là sưng mặt và sốt, hãy đến gặp bác sĩ ngay lập tức để được thăm khám và điều trị.

Nếu có dấu hiệu áp xe răng hãy đến bác sĩ ngay lập tức để được thăm khám và điều trị
LIÊN HỆ
NHA KHOA ANH THƯ
462 Thôn 3 - Tích Lộc - Phúc Thọ - Hà Nội
Hotline: 0359624516
Website: https://nhakhoasontay.vn/
Chăm sóc răng miệng đúng cách là rất quan trọng để ngăn ngừa áp xe răng và các vấn đề sức khỏe khác. Hãy để chúng tôi đồng hành cùng bạn trong hành trình bảo vệ sức khỏe răng miệng của bạn!

